Dr. Germán Salazar Arguello
Universidad Central del Ecuador
Doctor en Medicina y Cirugía, graduado ocupando el octavo lugar en la lista de mejores egresados
Postgrado
Traumatálogo Ortopedista, siendo el mejor egresado de su promoción
Objetivo
Colaborar con una entidad brindando mi conocimiento y capacidad y obteniendo de ésta, la oportunidad de crecimiento profesional.
Cursos de Actualización
Francia
Estados Unidos
Argentina
Chile

ESGUINCES
Un esguince, torcedura o distensión ligamentosa es una lesión de los ligamentos por distensión, estiramiento excesivo, torsión o rasgadura, acompañada de hematoma, inflamación y dolor que impide continuar moviendo la parte lesionada.
Se origina al afectarse la región articular por acción mecánica (la exigencia de un movimiento brusco, excesiva apertura o cierre articular, movimiento anti-natural), o por violencia (caída, golpe).
No debe confundirse con la luxación, la cual es una lesión más severa que involucra el cambio de posición de la articulación y la separación de sus huesos. Ni tampoco con el desgarro, que es la lesión del tejido muscular.

LUXACIONES
Una luxación o dislocación es toda lesión cápsulo-ligamentosa con pérdida del contacto de las superficies articulares por causa de un trauma grave, que puede ser total (luxación) o parcial (subluxación). En semiología clínica, el término se conoce como abartrosis o a articulación.

REHABILITACIÓN
A cargo de la licenciada Flor Flores, profesional con amplia experiencia en este ámbito cuyo trabajo lo certifican los pacientes atendidos en traumatología ecuador, atendemos en horario matutino y vespertino de acuerdo a la necesidad del paciente y de la enfermedad que este sufre.
La rehabilitación física, en pocas palabras, apunta a la funcionalidad corporal. Las tareas de rehabilitación pretenden que el individuo mejore su movilidad y sus habilidades físicas a partir de ejercicios, masajes y otras técnicas.

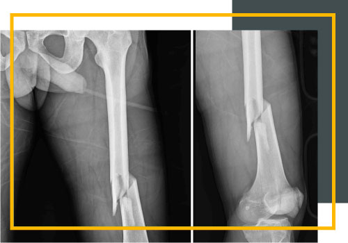
TRAUMA FRACTURAS
El Servicio de Ortopedia de Trauma está activamente comprometido con el desarrollo de técnicas quirúrgicas mínimamente invasivas para el manejo de fracturas y emplea frecuentemente las técnicas artroscópicas para las fracturas de meseta tibial. El empleo de nuevas técnicas de placas subcutáneas minimiza la cantidad de exposición quirúrgica requerida, reduciendo así el riesgo de infección y grado de sangre.
Además, el Servicio introduce permanentemente las nuevas técnicas para reducir la exposición para fracturas acetabulares que permiten el uso de incisiones más pequeñas. Con el objetivo de desarrollar un enfoque aún menos invasivo, el servicio aplica técnicas para reparar dichas fracturas en forma endoscópica.

Puede solicitar información a DR. GERMÁN SALAZAR ARGUELLO - TRAUMATÓLOGO ORTOPEDISTA por medio del siguiente formulario: